Skip to content Skip to sidebar Skip to footer

Posterior Impingement Syndrome Elbow

Posterior Impingement Syndrome Upswing Health

Posterior Impingement Syndrome Upswing Health

Posterior impingement syndrome elbow. Activity that involves forceful elbow extension can cause triceps tendinosis or posterior impingement syndrome. Posterior impingement of the elbow joint usually occurs due to repeated extension of the elbow. 1 windup 2 early cocking 3 late cocking 4 acceleration 5 deceleration and 6 follow-through.

The radial nerve divides into two branches at the elbow. This may occur at several locations in the elbow and upper forearm. Posteromedial elbow impingement is a source of disability in the overhead throwing athlete.

This syndrome may lead to the development of bone spurs extra bone that forms on the edge of an existing bone and inability to extend the elbow. Posterior Elbow Pain Swelling Catching andor Locking Phase of Throwing. These are the superficial radial nerve and the posterior interosseous nerve PI nerve.

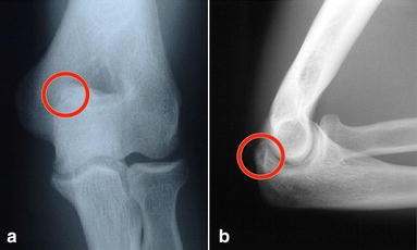
Olecranon impingement within the olecranon fossa. In addition any activity that causes increased valgus stress on the elbow can also cause posterior impingement syndrome or. Posterior Impingement of the Elbow Fig.

This may occur during sports such as overhead racket sports throwing swimming and boxing. Throwing javelin Older patients. It is the posterior interosseous nerve that may become entrapped or compressed.

Posteromedial Elbow Tests Posteromedial Impingement Test Elbow at 20º to 30º Valgus Stress Force Terminal Extension. Elbow impingement is a condition characterized by compression and damage to soft tissue such as cartilage situated at the back of or within the elbow joint. May stimulate the formation of osteophytes with chronic impingement.

Posterior impingement is due to over use and repetitive forced extensions of the elbow. Also known as Posterior Impingement Syndrome Posterior Impingement of the Elbow What is elbow impingement.

Elbow Pain Common Causes Everything You Need To Know Dr Nabil Ebraheim Youtube

Elbow Pain Common Causes Everything You Need To Know Dr Nabil Ebraheim Youtube

Posterior Impingement Of The Elbow Musculoskeletal Key

Posterior Impingement Of The Elbow Musculoskeletal Key

Posterior Impingement Of Elbow Sport Med School

Posterior Impingement Of Elbow Sport Med School

Posterior Impingement Syndrome Chiropractor Chandler Az

Posterior Impingement Syndrome Chiropractor Chandler Az

Posterior Impingement Test Youtube

Posterior Impingement Test Youtube

Posterior Impingement Of Elbow Sport Med School

Posterior Impingement Of Elbow Sport Med School

Topic Posterior Impingement Syndrome Upswing Health

Topic Posterior Impingement Syndrome Upswing Health

Posterior Impingement Of Elbow Shoulderdoc

Posterior Impingement Of Elbow Shoulderdoc

Valgus Extension Overload Resulting In Posteromedial Impingement Download Scientific Diagram

Valgus Extension Overload Resulting In Posteromedial Impingement Download Scientific Diagram

Elbow Pain Causes And Treatment Everything You Need To Know Dr Nabil Ebraheim Youtube

Elbow Pain Causes And Treatment Everything You Need To Know Dr Nabil Ebraheim Youtube

Evaluation Of Elbow Pain In Adults American Family Physician

Evaluation Of Elbow Pain In Adults American Family Physician

Elbow Impingement Posterior Impingement Syndrome Elbow Physioadvisor

Elbow Impingement Posterior Impingement Syndrome Elbow Physioadvisor

Posteromedial Elbow Impingement M19 029 715 12 Eorif

Posteromedial Elbow Impingement M19 029 715 12 Eorif

Valgus Extension Overload Pitcher S Elbow Shoulder Elbow Orthobullets

Valgus Extension Overload Pitcher S Elbow Shoulder Elbow Orthobullets

Posterior Impingement Of Elbow Sport Med School

Posterior Impingement Of Elbow Sport Med School

9 Reasons For Sharp Pain In Your Elbow Sources And Solutions

9 Reasons For Sharp Pain In Your Elbow Sources And Solutions

Elbow Pain Chiropractor Chandler Az

Elbow Pain Chiropractor Chandler Az

Evaluation Of Elbow Pain In Adults American Family Physician

Evaluation Of Elbow Pain In Adults American Family Physician

Posterior Elbow Pain Back Sportsinjuryclinic Net

Posterior Elbow Pain Back Sportsinjuryclinic Net

Elbow Impingement Exercises Youtube

Elbow Impingement Exercises Youtube

Thrower S Elbow

Thrower S Elbow

Does Ankle Impingement Require Surgery Improving Range Of Motion Without Surgery Caring Medical Florida

Does Ankle Impingement Require Surgery Improving Range Of Motion Without Surgery Caring Medical Florida

Posterior Elbow Pain Back Sportsinjuryclinic Net

Posterior Elbow Pain Back Sportsinjuryclinic Net

1

1

Valgus Extension Overload Syndrome A Posterior View Demonstrating Download Scientific Diagram

Valgus Extension Overload Syndrome A Posterior View Demonstrating Download Scientific Diagram

Posterior Ankle Pain Pivotal Motion Physiotherapy

Posterior Ankle Pain Pivotal Motion Physiotherapy

Posterior Impingement Of Elbow Sport Med School

Posterior Impingement Of Elbow Sport Med School

Arthroscopic Treatment Successfully Treats Posterior Elbow Impingement In An Athletic Population Springerlink

Arthroscopic Treatment Successfully Treats Posterior Elbow Impingement In An Athletic Population Springerlink

Posterior Ankle Impingement Overview And Treatment Capital Area Pt Wellness

Posterior Ankle Impingement Overview And Treatment Capital Area Pt Wellness

Physiotherapy Management Of The Elbow Physiopedia

Physiotherapy Management Of The Elbow Physiopedia

Evaluation Of Overuse Elbow Injuries American Family Physician

Evaluation Of Overuse Elbow Injuries American Family Physician

Endoscopic Management Of Calcaneofibular Impingement And Posterior Ankle Impingement Syndrome Caused By Malunion Of Joint Depressed Type Calcaneal Fracture Arthroscopy Techniques

Endoscopic Management Of Calcaneofibular Impingement And Posterior Ankle Impingement Syndrome Caused By Malunion Of Joint Depressed Type Calcaneal Fracture Arthroscopy Techniques

Posterior Ankle Impingement Syndrome

Posterior Ankle Impingement Syndrome

2

2

Little Leaguer S Elbow Symptoms Treatment Surgery Pitch Counts

Little Leaguer S Elbow Symptoms Treatment Surgery Pitch Counts

Internal Impingement Shoulder Elbow Orthobullets

Internal Impingement Shoulder Elbow Orthobullets

Ankle Impingement Posterior Upswing Health

Ankle Impingement Posterior Upswing Health

Aspetar Sports Medicine Journal Handball Elbow

Aspetar Sports Medicine Journal Handball Elbow

Does Ankle Impingement Require Surgery Improving Range Of Motion Without Surgery Caring Medical Florida

Does Ankle Impingement Require Surgery Improving Range Of Motion Without Surgery Caring Medical Florida

Internal Impingement Of The Shoulder Physiopedia

Internal Impingement Of The Shoulder Physiopedia

Impingement Syndromes Subtypes Shoulder Made Simple

Impingement Syndromes Subtypes Shoulder Made Simple

Tennis Elbow Wikipedia

Tennis Elbow Wikipedia

Olecranon Posterior Impingement Elbow Physiotherapy

Olecranon Posterior Impingement Elbow Physiotherapy

Shoulder And Elbow Chart 20x26 Elbow Anatomy Joints Anatomy Anatomy

Shoulder And Elbow Chart 20x26 Elbow Anatomy Joints Anatomy Anatomy

Posterior Ankle Impingement Syndrome

Posterior Ankle Impingement Syndrome

Shoulder Impingement Syndrome Orthopedic Specialist Richmond Va

Shoulder Impingement Syndrome Orthopedic Specialist Richmond Va

Posterior Ankle Impingement Rehabilitation Guide Physioadvisor

Posterior Ankle Impingement Rehabilitation Guide Physioadvisor

Clinical Examination Of The Elbow Musculoskeletal Key

Clinical Examination Of The Elbow Musculoskeletal Key

1

1

This study indicates that MRI identifies a reproducible pattern of pathology in.

These are the superficial radial nerve and the posterior interosseous nerve PI nerve. May stimulate the formation of osteophytes with chronic impingement. This may occur during sports such as overhead racket sports throwing swimming and boxing. Olecranon impingement within the olecranon fossa. Can cause biceps tendinosis or anterior capsule strain. This syndrome may lead to the development of bone spurs extra bone that forms on the edge of an existing bone and inability to extend the elbow. Snapping Triceps Syndrome. Posteromedial Elbow Tests Posteromedial Impingement Test Elbow at 20º to 30º Valgus Stress Force Terminal Extension. Activity that involves forceful elbow extension can cause triceps tendinosis or posterior impingement syndrome.


These are the superficial radial nerve and the posterior interosseous nerve PI nerve. Olecranon impingement within the olecranon fossa. Posteromedial Elbow Tests Posteromedial Impingement Test Elbow at 20º to 30º Valgus Stress Force Terminal Extension. Posterior impingement of the elbow joint usually occurs due to repeated extension of the elbow. In addition any activity that causes increased valgus stress on the elbow can also cause posterior impingement syndrome or. Can cause biceps tendinosis or anterior capsule strain. This study indicates that MRI identifies a reproducible pattern of pathology in.

Post a Comment for "Posterior Impingement Syndrome Elbow"